Prof. Dr. Haridas Das Adhikari

Prof. Dr. Haridas Das Adhikari

B.D.S.(Cal), M.D.S.(B.H.U), Dental Surgeon - Endodontist

Innovative Treatment


A case of combined REP in one Root and VPT in another Root.

Wound in bone (marked) in one root has healed through REP which is revealed in 6 and 12 months follow up IOPAR, the unaffected pulp in another Root Canal is protected through VPT resulting in the maintenance of validity of Tooth.

An unconventional way of treating Non-Vital Tooth with Apical Pathology with the help of MTA (Mineral Trioxide Aggregate)

Treating Non-Vital Tooth with Apical Pathology with the help of MTA

Dead discolored tooth
with a growth in bone

Treating Non-Vital Tooth with Apical Pathology with the help of MTA

In the process of
saving tooth by
Root Canal Treatment

Treating Non-Vital Tooth with Apical Pathology with the help of MTA

MTA is placed in
the apical 5mm
of Root Canal.
Rest part kept empty.

Treating Non-Vital Tooth with Apical Pathology with the help of MTA

A Glass Fiber post is the process of being fixed within empty
part of Root Canal with the help of Composite Resin.

Treating Non-Vital Tooth with Apical Pathology with the help of MTA

Tooth is prepared for receiving a crown.

Treating Non-Vital Tooth with Apical Pathology with the help of MTA

X-ray after Preparation

Treating Non-Vital Tooth with Apical Pathology with the help of MTA

The Smile after placing
the Temporary Crown.

Treating Non-Vital Tooth with Apical Pathology with the help of MTA

X-ray
Pre-Operation

Treating Non-Vital Tooth with Apical Pathology with the help of MTA

After 3 months
x-ray post operation

Treating Non-Vital Tooth with Apical Pathology with the help of MTA

After 2 years
x-ray post operation

An Innovative Technique of saving a Tooth with Fracture Extending Sub-Gingivally (Chisel Type Fracture)

Tooth with Fracture Extending Sub-Gingivally

Showing picture line
Extending Palatally and
Sub-Gingivally.

Tooth with Fracture Extending Sub-Gingivally

X-ray showing
picture line

Tooth with Fracture Extending Sub-Gingivally

Labial Soft Tissue
Reflected

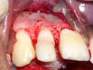
Tooth with Fracture Extending Sub-Gingivally

Palatal Soft Tissue
Reflected

Tooth with Fracture Extending Sub-Gingivally

Splinting of Fracture
Fragments with direct
Composite Veneering

Tooth with Fracture Extending Sub-Gingivally

In the process of Removal
of Pulp after access preparation
then Cleaning and Shaping done.

Tooth with Fracture Extending Sub-Gingivally

Single sitting RCT
Completed after Sectional
Obturation.

Tooth with Fracture Extending Sub-Gingivally

Root and Crown Fragments
are splinted with Glass
Fibre Post. Resin Cement and
Light Cure Composite
are used for this purpose.

Tooth with Fracture Extending Sub-Gingivally

Finished palatal view
of the tooth. Stitches can be seen.

Tooth with Fracture Extending Sub-Gingivally

Finished Labial view
Stitches can be seen.

Regenerative Endodontic Procedure -

Regenerative Endodontic Procedure

Naseem Shah -
PRF Mediated REP in 21 with 18 Months Follow Up
Complete Bony Healing, Apex Closed, Lateral Wall Thickening- 15.5%

Dental Treatment

Tanisha Konai -
PRP Mediated REP in 21 with 18 months follow up
Bone healing, Apical PDL formed, Apex Closed, Calcific Bridge formed in 21.
Vitality Positive

Dental Treatment

Amanulla -
PRF Mediated REP in 22 with 18 months Follow up
Complete Bony Healing, Calcific Bridge Formed.

Dental Treatment

PRF Mediated REP in 21 with 26 Months Follow Up
Complete Bony Healing, Apex Closed, Lateral Dentinal Wall Thickened, PDL Apically

The newly generated tissue within the Dead Tooth histologically appeared to be Plas-Fosad Cementum like Tissue in Biopsy -

tissue within the Dead Tooth Plas-Fosad Cementum

Published in journal of Conservative Dentistry : 2018 : Vol 9 : Issue 6

Powered By - www.calcuttayellowpages.com